---
title: "Bøjletandlægen"
description: "Tandreguleringsklinik, tandstillingsfejl, fastsiddende og løse bøjler"
date: "2025-08-08"
created: "2024-03-22"
tags:
  - "Bøjletandlæge"
  - "togskinner"
  - "bøjlen er gået i stykker"
  - "Quad Helix. Activator"
  - "aktivator"
  - "retention"
  - "tandbøjle"
  - "ganebøjle"
  - "Hyrax"
---

[Hjem](https://gladsaxe.dk/)

                    [Borger](https://gladsaxe.dk/borger)

                    [Børn og familie](https://gladsaxe.dk/borger/boern-og-familie)

                    [Børn og sundhed](https://gladsaxe.dk/borger/boern-og-familie/boern-og-sundhed)

                    [Tandplejen](https://gladsaxe.dk/borger/boern-og-familie/boern-og-sundhed/tandplejen)

                [Bøjletandlægen](https://gladsaxe.dk/borger/boern-og-familie/boern-og-sundhed/tandplejen/boejletandlaegen)

# Bøjletandlægen

## Om tandregulering

Tandregulering foregår på Tandreguleringsklinikken - og det er gratis at få bøjle på. Barnet kan få bøjle på, hvis tandstillingen skader tænder, vækst og tyggefunktion. Man kan ikke få bøjle på af kosmetiske grunde.

Nederst på siden finder du adresser og åbningstider samt telefonnumre og telefontider på alle vores klinikker.

## Information om din behandling

###

                                    1. Ekspansionsplade - en aftagelig ganebøjle

En ekspansionsplade er en aftagelig ganebøjle.

![](https://gladsaxe.dk/i/MOLIRIMEDIA/1536f8f0-711b-4e48-d5ae-08dc36def874?width=800)

Der sidder en klar plade i ganen, og i midten af denne plade kan der skrues, så pladen langsomt udvider sig.

Det er vigtigt, at du tager bøjelen af og på, som klinikken har vist dig.

### Hygiejne

Pladen vaskes i almindelig håndsæbe og koldt vand. Brug en lille tandbørste. For varmt vand deformerer pladen, så den ikke længere passer.

Din plade skal altid opbevares i en æske, når den ikke er i munden.

OBS: Hunde er meget glade for ganebøjler, så pas godt på!

![](https://gladsaxe.dk/i/MOLIRIMEDIA/7dbc3323-0374-45a2-d539-08dc36def874?width=800)

### Tilvænning

Du skal måske lige vænne dig til at have en ganebøjle siddende. Det kan føles lidt voldsomt, og måske synes du, din tale er lidt forandret.

I løbet af få dage har du vænnet dig til bøjlen, og det har din tunge også. Ingen kan høre, at du har bøjle.

### Ømhed

De første dage kan tænderne godt føles lidt ømme. Det er helt normalt. Tænderne skal vænnes til at blive flyttet. Hvis bøjlen måske senere skal strammes lidt, kan du godt blive lidt øm igen.

I kinden og indvendigt på læberne kan bøjlen godt kradse lidt i starten. Du kan eventuelt sætte lidt af det voks, du har fået udleveret, på.

Hvis bøjlen er så skarp, at den river hul, vil vi naturligvis gerne kigge på dig igen.

### Kontrol

Husk altid at medbringe din ekspansionsplade til kontrol på klinikken.

###

                                    2. Quad Helix

Du har nu fået en Quad Helix, som udvider ganen for at øge bredden af overkæben.

En Quad Helix er limet fast på tænderne ved hjælp af nogle små metalringe bagest i munden.

![](https://gladsaxe.dk/i/MOLIRIMEDIA/7dfa376f-1006-4948-d543-08dc36def874?width=800)

![](https://gladsaxe.dk/i/MOLIRIMEDIA/0398b788-3190-4632-d4e5-08dc36def874?width=800)

### Hygiejne

Der er en masse små kroge og hjørner, som skal holdes ekstra godt rene. Brug gerne ekstra tid på din daglige mundhygiejne. En blød tandbørste har nemmere ved at komme rundt.

![](https://gladsaxe.dk/i/MOLIRIMEDIA/603d75ef-0bc4-4bc9-d4ee-08dc36def874?width=800)

### Kontrol

Du skal ikke gøre noget særligt, når du skal til kontrol andet end at have børstet
tænder.

###

                                    3. Aktivator

Du har fået en aktivator med head-gear.

Head-gear er den del der sidder oppe på hovedet. Metal-buerne uden for munden kaldes for ”face-bow”.

Den virker ved at overkæbe og underkæbe tilpasses hinanden og aktiverer underkæben til en fremadrettet vækst.

Bøjlen kan tages af og virker kun når den er i munden. Den skal bruges 10-12 timer i døgnet. Altid om natten og derudover når du læser, ser tv, sidder ved computeren eller lignende.

Du må ikke have aktivatoren på til leg eller sport.

![](https://gladsaxe.dk/i/MOLIRIMEDIA/ae26e4d8-70ee-4040-d41e-08dc36def874?width=800)

![](https://gladsaxe.dk/i/MOLIRIMEDIA/fcfca50d-94c3-4af2-d3bb-08dc36def874?width=800)

### Hygiejne

Bøjlen skal holdes ren. Børst hver morgen med koldt vand og sæbe.

Tandsten kan fjernes ved iblødsætning i en del eddike og en del vand efterfulgt af børstning.

Husk også at børste tænderne grundigt morgen og aften.

### Ømhed

I starten bliver tænderne ømme, især fortænderne kan være ømme om morgenen. Dette går over efter kort tid, hvis du bruger bøjlen regelmæssigt.

### Sove med aktivator

Det kan være svært at sove med bøjlen på i starten, især hvis du ligger på siden. Indtil
det går godt med at sove med bøjlen, skal du bruge den mest muligt i dagtimerne. Inden længe kan du kunne sove med aktivatoren uden problemer.

### Kontrol

Husk altid at medbringe aktivator og head gear til kontrol på klinikken.

Har du problemer med bøjlen – husk altid at ringe og bestille en ekstra tid før
du kommer.

###

                                    4. Retention

Du er nu færdig med den aktive del af tandreguleringen, hvor tænderne flyttes.

Nu starter retention-fasen, som med andre ord betyder ”stabiliseringsfasen”. Det er vigtigt at bruge din støttebøjle som anvist for at undgå, at tænderne flytter sig.

Der er flere typer af retention, og det er specialtandlægen, der vurderer hvilken type, netop du skal bruge. Det kan også være en kombination af de forskellige typer.

### 1. Retentionplade - aftagelig bøjle

Skinnen er lavet i gennemsigtig plast. Den skal bruges 24 timer i døgnet det første stykke tid. Herefter vurderer vi her på klinikken, hvornår du kan trappe ned.

Børst skinnen grundigt og læg den et tørt sted, når den ikke er i brug. Den vaskes i almindelig håndsæbe og koldt vand. Brug en lille tandbørste. For varmt vand vil ændre formen på skinnen, så den ikke passer dig længere. Din skinne skal altid opbevares i en æske når den ikke er i munden.

OBS: Hunde er meget glade for retentionapparatur, så pas godt på!

![](https://gladsaxe.dk/i/MOLIRIMEDIA/e1d87c8d-93e4-42bb-d487-08dc36def874?width=800)

### 2. Retentionplade – aftagelig bøjle

En plade der sidder i ganen. Et par bøjler griber fast i tænderne og holder dem på plads. Du skal have den på 24 timer i døgnet det første stykke tid. Herefter vurderer vi her på klinikken, hvornår du kan trappe ned.

Pladen skal børstes grundigt og ligge tørt, når den ikke er i brug. Den vaskes i almindelig håndsæbe og koldt vand. Brug en lille tandbørste. For varmt vand deformerer den, så den ikke længere passer. Din plade skal altid opbevares i en æske når den ikke er i munden.

![](https://gladsaxe.dk/i/MOLIRIMEDIA/7e1a24c6-f5b2-49f9-d581-08dc36def874?width=800)

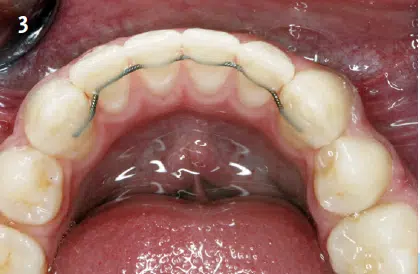
### 3. Stabiliseringstråd

Består af en tynd metaltråd der er limet fast på bagsiden af fortænderne. Tråden bør sidde på så længe som muligt, eventuelt hele livet.

Det er vigtigt at holde en god mundhygiejne, så der ikke sker skade på tænder og tandkød. Hvis tråden går løs, bør den hurtigst muligt sættes på igen, så tænderne ikke flytter sig. Det sker her på tandreguleringsklinikken, indtil du fylder 18 år. Herefter vil din egen tandlæge kunne reparere den.

![](https://gladsaxe.dk/i/MOLIRIMEDIA/f87bfb00-a1a9-495e-d4f2-08dc36def874?width=800)

### Kontrol

Du skal fortsat komme til kontrol her på klinikken, indtil du fylder 18 år.
Husk du skal stadig være forsigtig med hårde fødevarer.

Har du problemer med bøjlen – husk altid at ringe og bestille en ekstra tid før
du kommer.

###

                                    5. Fast apparatur

Du har fået fast apparatur. Metal-knapperne der er limet på tænderne kaldes ”brackets”. Det er buen, der retter tænderne.

![](https://gladsaxe.dk/i/MOLIRIMEDIA/150cc1a9-7829-4978-d3c2-08dc36def874?width=800)

### Ømhed

Det er meget almindeligt at blive øm i tænderne de første par dage, efter man har fået bøjlen på. Spis normalt, men hvis du er meget øm, kan det være rart med blød mad – gerne koldt.

### Undgå

Slik er altid dårligt for tænderne. Med fast apparatur må du ikke spise sejt og klæbrigt slik – for eksempel vingummi, karameller, lakrids og så videre.

Sukkerfrit tyggegummi må du gerne tygge. Måske får du endda anbefalet at tygge sukkerfrit tyggegummi under behandlingen med fast apparatur.

Søde og sure drikke skal begrænses til et minimum.

Andre hårde fødevarer så som æbler, gulerødder med mere, må ikke bides af med tænderne. Det skal rives eller skæres ud i mindre stykker. At bide af disse madvarer kan medføre, at brackets løsner sig eller at bøjlen på anden måde bliver ødelagt. Dette vil kunne forlænge din behandlingstid.

### Bøjlen går løs eller bliver skæv

Er uheldet ude, skal du kontakte os og bestille en tid hurtigst muligt. Det er vigtigt at bøjlen sidder rigtigt. Hvis apparaturet ikke sidder korrekt, kan det forlænge behandlingstiden.

### Elastikker

Hvis du er blevet instrueret i at bruge elastikker, er det vigtigt, at du bruger og skifter dem som aftalt. Sørg for at have nok elastikker, og kom gerne forbi klinikken efter flere.

![](https://gladsaxe.dk/i/MOLIRIMEDIA/8db9673e-2978-487e-d465-08dc36def874?width=800)

### Mundhygiejne

Tænder og apparatur skal børstes grundigt morgen og aften. Se den udleverede tandbørste-instruktion.

Efter endt behandling med fast apparatur, skal du i gang med det der hedder retention. Du får mere at vide om det senere.

Har du problemer med bøjlen – husk altid at ringe og bestille en ekstra tid før du kommer.

###

                                    6. Hyrax

En Hyrax er en fastsiddende bøjle, som udvider ganen for at øge bredden af overkæben.

![](https://gladsaxe.dk/i/MOLIRIMEDIA/f98449fa-5e0a-40b6-d434-08dc36def874?width=800)

![](https://gladsaxe.dk/i/MOLIRIMEDIA/9b0f38f1-df5b-4134-d5af-08dc36def874?width=800)

### Hygiejne

Du skal børste rigtig godt oppe omkring de forskellige kroge, der er limet fast på dine tænder.
Brug gerne lidt ekstra tid på den daglige mundhygiejne.

### Hvordan

Du skal selv skrue på din Hyrax, efter klinikkens anvisning.
Hvis noget går løs, eller der opstår andre problemer, skal du straks kontakte klinikken.

### Kontrol

Du skal ikke gøre noget særligt, når du skal til kontrol andet end at have børstet tænder.

###

                                    7. Tandbørsteinstruktion

![](https://gladsaxe.dk/i/MOLIRIMEDIA/8366d994-c707-4c33-d3a8-08dc36def874?width=800)

Det er vigtigt at tænderne børstes rene langs tandkødskanten.

![](https://gladsaxe.dk/i/MOLIRIMEDIA/578cec26-4b74-4249-d48a-08dc36def874?width=800)

Knapperne skal holdes rene, hele vejen rundt.
Børsten holdes i en 45-graders vinkel som vist på billedet.

![](https://gladsaxe.dk/i/MOLIRIMEDIA/1152d045-4d50-4f98-d443-08dc36def874?width=800)

Solobørsten er meget effektiv og bruges som supplement. På billedet kan du se,
at den er god til at komme ind under buen og mellem knapperne.

![](https://gladsaxe.dk/i/MOLIRIMEDIA/6ab78f29-aa9f-40e3-d3c3-08dc36def874?width=800)

En interdental-børste er også rigtig god til at komme rundt i krogene. Den ligner en lille flaskerenser.
Børsten skubbes ind under buen og i mellemrummene mellem dine tænder.
Den er meget effektiv og god til at fjerne det plak, der kan samle sig rundt om knapperne og imellem tænderne.

![](https://gladsaxe.dk/i/MOLIRIMEDIA/7969b8ed-43d6-4c37-d55e-08dc36def874?width=800)

Vi anbefaler at du bruger nedenstående midler,
for at opnå en god mundhygiejne:

• En god, blød tandbørste
• En solotandbørste
• Tandpasta med et højt indhold af fluor.
   1450 ppm F
• Interdental-børster
• Eventuelt de røde sladrepiller

Hvis plak og madrester sidder for længe på tænderne, kan du dels få caries – altså huller i tænderne – og dels kan du få tandkødsbetændelse.
At have fast apparatur på tænderne stiller større krav til den daglige mundhygiejne.
Hvis du har spørgsmål om tandhygiejne, er du naturligvis altid velkommen til at spørge os her på klinikken.

### Kontrol:

Det kan blive nødvendigt at aftage apparaturet og afslutte før tid, hvis du ikke holder en god mundhygiejne.

Har du problemer med bøjlen – husk altid at ringe og bestille en ekstra tid før du kommer.

###

                                    8. Førstehjælp til tandbøjlen - når klinikken har lukket eller holder ferie

### Sår i munden eller kinden

Det er normalt at få sår de første dage efter, at du har fået bøjlen på. I så fald kan du lægge voks på de dele af bøjlen, der irriterer.

Hvis sårene ikke er helet efter 6-7 dage, kan du kontakte klinikken på telefon 39 57 47 71.

### Akut eller ej ?

Hvis din bøjle driller, mens klinikken er lukket, skal du ikke gå i panik. Ofte kan du vente til næste hverdag.

Husk at kontakte klinikken straks efter ferien, hvis du har haft problemer. Hvis du venter for længe, kan det nemlig forlænge din tandregulering.

### Få den rette behandling

Nødbehandling hos en anden tandlæge er sjældent en god idé. Tandregulering er specialbehandling, som de fleste tandlæger ikke har kendskab til.

### Fast apparatur/togskinner

**Mistet elastik eller metal omkring bracket.**

![](https://gladsaxe.dk/i/MOLIRIMEDIA/6c5ecaa2-4b51-4f6a-538b-08dd8b99f0e0?width=800)

Kontakt klinikken i åbningstiden eller vent til din næste kontroltid.

*Det er ikke akut.*

**Buen eller metaltråden stikker**

![](https://gladsaxe.dk/i/MOLIRIMEDIA/63fbdf23-ffaa-403c-538a-08dd8b99f0e0?width=800)

Skub forsigtigt tråden på plads med en blyant, vatpind eller bagsiden af en tændstik. Hvis det er nødvendigt, kan du klippe den overskydende tråd af med en negleklipper eller skævbider.

Du kan også bruge specialvoks fra din tandreguleringsklinik til at dække den del af tråden, der stikker eller generer.

*Ingen grund til at kontakte os.*

**Bracket har løsnet sig**

![](https://gladsaxe.dk/i/MOLIRIMEDIA/a1766559-72ab-41c1-5389-08dd8b99f0e0?width=800)

Hvis bracket ikke generer, kan du lade den sidde. Kontakt klinikken i åbningstiden for at få den sat fast igen.

*Det er ikke akut.*

**Bue er knækket**

Ring til klinikken, når den åbner, så du kan få en ny bue på.

*Det er ikke akut.*

**Bånd er løst**

![](https://gladsaxe.dk/i/MOLIRIMEDIA/3bb5722d-3dc5-4587-538e-08dd8b99f0e0?width=800)

Hvis det ikke generer, så lad båndet være og kontakt klinikken i åbningstiden. Generer det derimod, kan du klippe buen foran båndet, tage båndet ud og bøje enden af buen ind, så den ikke stikker. Ring derefter til klinikken i åbningstiden.

*Det er ikke akut.*

**Mistet elastik omkring lås på ganebue**

![](https://gladsaxe.dk/i/MOLIRIMEDIA/ac2ca836-fa94-4767-538c-08dd8b99f0e0?width=800)

Kontakt klinikken i åbningstiden.

*Det er ikke akut.*

### Aftagelige bøjler

![](https://gladsaxe.dk/i/MOLIRIMEDIA/da7f14c9-abc9-4242-538d-08dd8b99f0e0?width=800)

**Del af akryl er knækket**

Hvis bøjlen stadig sidder godt og ikke generer, skal du fortsætte med at bruge bøjlen og kontakte klinikken lige efter ferien. Hvis der er en skarp kant, kan du forsigtigt slibe den glat med en neglefil.

**Metal er blevet bukket**

Prøv forsigtigt at bøje metallet tilbage på plads. Hvis du oplever ømhed i tænderne, skal du stoppe med at bruge bøjlen og kontakte klinikken lige efter ferien.

**Bøjlen er knækket i flere dele**

Stop med at bruge bøjlen og kontakt klinikken lige efter ferien.

## Mit barn skal have bøjle

###

                                    Vi undersøger dit barn i 10-11 års alderen

Når dit barn er 10 eller 11 år bliver dit barn undersøgt for, om der kan være behov for bøjle. Det sker ved den almindelige undersøgelse på den klinik, som plejer at besøge.

### Visitation hos bøjletandlægen

Hvis tandlægen vurderer, at barnets tandstilling er afvigende, aftales der en tid til visitation hos bøjletandlægen.

Det er muligt at foretage undersøgelsen tidligere, hvis tandlægen skønner, at der er behov for det. Måske skal dit barn vente med at få bøjle. Det afhænger af, hvor mange af de blivende tænder, dit barn allerede har fået.

### Vi følger tændernes udvikling - behovet for bøjle kan ændres

Nogle gange kan det være nødvendigt af følge udviklingen på dit barns tænder over en periode, før vi kan afgøre, om dit barn skal have bøjle. Tandlægen holder øje med tandstillingen ved de almindelige undersøgelser.

###

                                    Årsag til at få bøjle

Der kan være flere årsager til at få bøjle, fælles for dem alle er, at tænderne er vokset ud på en måde, der giver gener, og derfor er nødvendige at behandle.

Til gengæld kan du ikke få rettet dine tænder hos Gladsaxe kommunale Tandpleje, hvis det udelukkende er af kosmetiske årsager.

Nedenfor kan du se, eksempler på hvad, der kræver behandling.

- Meget store overbid.
- Generel stor pladsmangel til tænderne.
- Underbid.
- Ikke frembrudte blivende tænder, som ligger forkert i kæben.
- En eller flere tænder, der ikke er dannet.
- Meget dybe sammenbid ved fortænderne, hvor der bides på tandkødet i ganen.
- Åbne bid, hvor tænderne ikke når sammen.
- Skæve sammenbid – krydsbid og saksbid.

###

                                    Tandstillingsfejl som ikke bahandles af tandplejen

Nedenfor kan du se, eksempler på hvad, der ikke behandles af Tandplejen

- Lokale pladsproblemer, især ved fortænderne i underkæben
- Tænder, der er drejede eller skæve
- Ved pladsoverskud – mellemrum mellem tænderne
- Kosmetiske behandlinger

###

                                    Forskellige typer af bøjler

Der behandles med to former for bøjler; løse og faste bøjler.

- Løse bøjler kan man selv kan tage ud.
- Fastebøjler er limet på tænderne og som man derfor ikke selv kan tage ud.

Det er bøjletandlægen, der afgør hvilken type bøjle, der kommer på tænderne. Valg af bøjle afhænger af, hvilken behandling der skal udføres.

Det er et mål i sig selv at gennemføre en behandling på kortest mulig tid.

Mange behandlinger vil bestå af perioder med løs bøjle og perioder med fast bøjle. Ved de regelmæssige kontrolbesøg ser vi bøjlen efter og ser, hvordan mundhygiejnen er.

Vi aftaler fra gang til gang hvornår og hvor tit, vi skal ses.

###

                                    Vi har privat tandlæge, kan mit barn få bøjle?

Du kan ikke få bøjle på hos Tandplejen i Gladsaxe, hvis dit barn er udmeldt af Tandplejen i Gladsaxe og går til tandlægen hos en privatpraktiserende tandlæge.

###

                                    Vi skal flytte fra Gladsaxe

Hvis I flytter, kan I ikke fortsætte behandlingen i Gladsaxe. I skal henvende jer til tandplejen i jeres nye kommune for at fortsætte behandlingen der.

## Kontakt

### Tandplejen Grønnemose

                                Høje Gladsaxe Torv 4

                                        2860

                                        Søborg

### Ring til os

[39 57 64 80](tel:39%2057%2064%2080)

### Skriv til os

[Send digital post](https://www.borgeronline.dk/159/NemForm/Nemform220)

### Bemærk

                            Adgang til klinikken er fra Kirketorvet gennem skolens hovedindgang og ned ad trappen til venstre. Husk P-skive ved parkering på Kirketorvet. Parkering på kirketorvet er forbudt ml. 7:30-8:30.

## Ledelse

Tandlæge Anne Amlund Kunckel

### Tandplejen Skovbrynet

                                Værebrovej 156

                                        2880

                                        Bagsværd

### Ring til os

[39 57 65 90](tel:39%2057%2065%2090)

### Skriv til os

[Send digital post](https://www.borgeronline.dk/159/NemForm/Nemform220)

### Bemærk

                            Adgang til klinikken er gennem første dør (Indgang B) på Skovbrynet Skole (ved parkeringspladsen). Tandklinikken ligger på højre hånd efter glasdørene i trappeopgangen.

### Ledelse

Distriktstandlæge Sara Abbasi

### Tandregulering

                                Triumfvej 1

                                        2800

                                        Kongens Lyngby

### Ring til os

[39 57 47 71](tel:39%2057%2047%2071)

### Skriv til os

[Send Digital Post](https://www.borgeronline.dk/159/NemForm/Nemform220)

### Bemærk

                            Adgang til klinikken er direkte fra Triumfvej over for Stengård Kirke. Der er ikke adgang via Stengård Skole.

### Ledelse

Ledende specialtandlæge Dewi Van Stein Callenfels

## Kontakt Tandplejens Administration

Rådhus Alle 7 B

                                        2860

                                        Søborg

### Skriv til os

[Send Digital Post](https://www.borgeronline.dk/159/NemForm/Nemform220)

### Bemærk

                            Der kan ikke foretages tidsbestilling ved kontakt til administrationen. Kontakt klinikken direkte.

### Ledelse

Overtandlæge Anne Mette Mosegaard Bjerrum
anmemo@gladsaxe.dk
Telefon: 39 57 54 60

### Kontaktperson

Assistent Julie Bjerre
Telefon: 39 57 54 62
